Atlas

Netter Reference
Urinary (55)
  • Lymph Vessels and Nodes of Kidneys and Urinary Bladder
    319. Lymph Vessels and Nodes of Kidneys and Urinary Bladder
  • Autonomic Nerves of Kidneys, Ureters, and Urinary Bladder
    320. Autonomic Nerves of Kidneys, Ureters, and Urinary Bladder
  • Autonomic Innervation of Kidneys and Upper Ureters: Schema
    321. Autonomic Innervation of Kidneys and Upper Ureters: Schema
  • Autonomic Nerves of Suprarenal Glands: Dissection and Schema
    322. Autonomic Nerves of Suprarenal Glands: Dissection and Schema
  • Arteries and Veins of Suprarenal Glands in Situ
    323. Arteries and Veins of Suprarenal Glands in Situ
  • Abdominal Wall and Viscera: Paramedian (Parasagittal) Section
    324. Abdominal Wall and Viscera: Paramedian (Parasagittal) Section
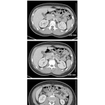
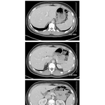
  • Abdominal Scans: Axial CT Images
    326. Abdominal Scans: Axial CT Images
  • Abdominal Scans: Axial CT Images (continued)
    327. Abdominal Scans: Axial CT Images (continued)
  • Cross Section at T10, Esophagogastric Junction
    328. Cross Section at T10, Esophagogastric Junction