Atlas

Netter Reference
Respiratory (57)
  • Heart in Situ
    215. Heart in Situ
  • Heart: Anterior Exposure
    216. Heart: Anterior Exposure
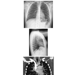
  • Heart: Radiographs and CT Angiogram
    217. Heart: Radiographs and CT Angiogram
  • Mediastinum: Cross Section
    220. Mediastinum: Cross Section
  • Thorax: Coronal Section of Heart and Ascending Aorta
    221. Thorax: Coronal Section of Heart and Ascending Aorta
  • Mediastinum: Right Lateral View
    234. Mediastinum: Right Lateral View
  • Mediastinum: Left Lateral View
    235. Mediastinum: Left Lateral View
  • Chest Scans: Axial CT Images
    244. Chest Scans: Axial CT Images
  • Cross Section of Thorax at T3 Level
    245. Cross Section of Thorax at T3 Level